CASE DISCUSSION


Osteochondrosis dissecans (OCD) is a disease of abnormal cartilage development. In the past 30-35 years it's been recognized as a significant condition not only in dogs, but in other species: it affects pigs and poultry with significant economic impact, and has been reported in cattle and horses as well. In dogs it's most commonly seen in large breeds that grow very rapidly.

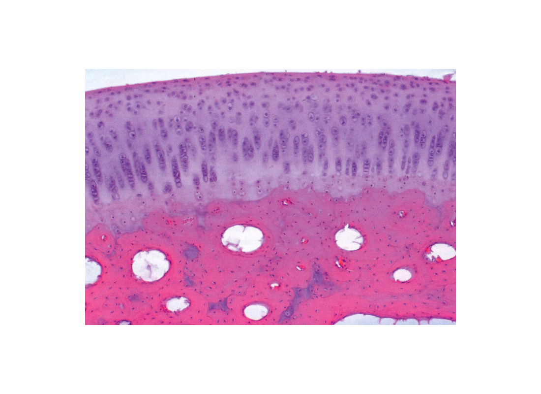
Its exact causes aren't completely known, but OCD is essentially a condition in which the orderly progression of events in endochondral ossification are deranged. A normal joint is shown at left. The articular cartilage can be seen to form two zones: one that's capable of proliferation, and one that acts as a bearing surface.

In the growing animal, the articular cartilage at the ends of long bones serves not only as the articulating surface, but as a zone for elongation of the bone as a whole (the epiphysis). The articular portion is organized in a way that resembles fully-differentiated adult cartilage; but the epiphyseal region of this "articular-epiphyseal complex" in young bones is actively involved in the extension of the limb and continuous production of more cartilage as part of the center of ossification. In the normal animal, the proliferation of cartilage in these two adjacent areas is controlled very tightly, in harmony with both the need for a smooth surface and a steady supply of cartilage as a model for the forming bone. In OCD the proliferating region is disturbed: proliferation, differentiation, vesiculation, degeneration, and calcification of the growth cartilage do not take place in the normal fashion.

The regular arrangement of proliferating chondrocytes is not present and the normal continuity between the proliferating chondrocytes and the bone that replaces them is interrupted. The normal continuum between calcifying chondrocytes and continuously developing longitudinal bony trabeculae with cartilage cores (primary and secondary spongiosa) is then disrupted. Endochondral ossification ceases and the cartilage model is retained, with affected areas of the growth plate becoming distinctly thickened.

Trauma, necrosis, and other unknown factors cause the development of cracks and fissures in the epiphysis, with these fissures extending towards the articular surface. Breakdown products of the degenerating cartilage can enter the joint, causing inflammation; and isolated regions of cartilage can break free and float in the joint space ("joint mice"). These events can be seen in radiographs.

The presence of joint mice and inflammatory events cause the animal pain; it manifests as lameness (especially after exercise) and a reluctance to extend the limb fully. Males are more frequently affected than females (3:1) and the typical age of onset is about 5 to 10 months.

Giant breeds tend to have a very fast rate of growth in puppyhood, and in this case the high-protein, high-fat diet probably accelerated the growth rate. It's known that too-rapid growth does in fact predispose an individual to develop OCD; and traumatic injury to the shoulder caused by a lot of running, jumping, and the in-and-out of riding in the truck has likely been a contributing factor as well. Shadrach's owner has unknowingly increased the chances that his dog will develop OCD.

Treatment of OCD depends largely on its severity. It ranges from cage rest to surgery to remove joint mice and damaged tissue. Anti-inflammatory drugs are often prescribed as well. Long-term consequences in severe cases can include osteoarthritis and joint immobilization if the condition is neglected.