Vol. 59  (3) 2004

INVESTIGATION OF THE FIRST TRANSMISSIBLE GASTRO-ENTERITIS (TGE) EPIDEMIC IN PIGS IN ISRAEL
Brenner, J.1, Yadin, H.1, Lavi, J.4, Perl, S.2, Edery, N.2, Elad, D.3, Bargut, A.4, Pozzi, S.4, Lavazza A.5, and Cordioli P. 5
1. Division of Virology and Preventive Neonatal Diseases Unit,
2. Pathology and 3. Bacteriology, Kimron Veterinary Institute, 50250, Bet Dagan,
4 . Freelancer Veterinary Surgeon, Israel and 5. Istituto Zooprofilatico Sperimentale della Lombardia e dell’Emilia-Romagna “Bruno Ubertini” Via Bianchi 9, Brescia (BS), Italia.

  Abstract
    Transmissible gastro-enteritis (TGE) is a contagious disease of pigs that occurs as explosive epizootics. This communication reports on the evidence that we gathered in order to confirm the first epidemic of TGE in Israel and external validation corroborated our clinical suspicion and laboratory findings.

 Our Discussion forum is open for your comments on this article

  Materials and methods    Results    Discussion     back to top

Introduction

    Transmissible gastro-enteritis (TGE) is contagious disease of pigs that occurs as explosive epizootics. TGE is caused by the TGE virus (TGEV), a member of the coronaviridae. A distinct respiratory variant the Porcine Respiratory Corona Virus ( PRCV) has been recognized since the 1980’s, a deletion mutant of the TGEV (1). Two other coronaviruses antigenically distinct are the Porcine Epidemic Diarrhea Virus (PEDV) and the Hemagglutinating Encephalitis Virus (HEV) (2).

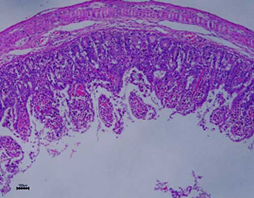
    TGEV is a common cause of diarrhea in pigs, affecting all ages but significant deaths only occur in suckling pigs, with the severity related to the age of the animals infected. Almost all susceptible piglets under 10 days of age die within few days of exposure, but the mortality decreases the older they become. Only mild signs such as vomiting, regurgitation and agalactia are present in the lactating dams. In an endemic situation, namely, in vaccinated animals and/or where the acute wave has faded, sporadic diarrhea in older animals and post-weaning animals in contaminated nurseries are the spare clinical evidences of TGEV infection. As a member of the coronavirus group, TGEV is primarily an enteric virus, destroying enterocytes of the small intestine (Fig. 1), causing villous atrophy. Extra-intestinal sites of virus multiplication include the respiratory tract and mammary tissues (3,4,5), but the virus is most readily isolated from the intestinal tract and feces.

    The first report of clinical disease in pigs caused by coronaviruses dates to 1946 (6) and TGE occurs throughout the world. The emergence of PRCV coincided with the disappearance of TGEV in Europe (7). In mid 1980’s, a previously unrecognized porcine coronavirus spreading through Europe was identified (8). The name porcine epidemic diarrhea virus (PEDV) was adopted (9). At present, PEDV has been identified in most swine-producing countries, except in the Americas (9).

    When the TGEV spreads within a fully susceptible herd with no previous history of TGEV infection, up to 100% mortality is expected among newborn pigs, showing marked diarrhea and dehydration in weaned pigs, while inappetence, vomiting and diarrhea are typical signs in adult animals. Partial or total agalactia of sows is common (5,9).

    The Israeli pig industry benefits from a particular epidemiological situation. Due to religious customs in the middle east, where the Jewish and Muslim religions prevails, the pig industry is largely isolated, and far away from any zone with intensive pig industry. Consequently, very few epidemics have been recorded among the Israeli pig herds. This communication reports on the first epidemic of TGE in Israel. The investigation was carried out pursuing diagnostic methodology of emerging diseases.
 

Introduction      Results    Discussion     back to top  

Materials and Methods

Case description
The first cases of diarrhea followed by dehydration and death of newborn piglets, 1 to 7 days old were noted in one pigsty in northern Israel on May 7th 2004 and the episode gained epidemic proportions, with mortality as high as 70 to 80% during the first week of life and proportionally less in convalescent groups of piglets. The area where this outbreak occurred is nicknamed the “swine hill” which is located near Evlin. This hill is about 1.5 by 1.5 kilometers. Thirteen pig herds are concentrated in this restricted zone. One to two days later after the first outbreak, other herds reported the same clinical signs. Additional clinical signs that accompanied this outbreak were vomiting and regurgitation and a partial agalactia in lactating sows. Two piglets of 2 days old were brought to the Kimron Veterinary Institute (KVI) for post mortem examination. The histological examination of the small intestine revealed typical (4,9) villous atrophy, suggesting an enteric virus infection.

    On May 24th a group of investigators from the Kimron Veterinary Institute paid a visit to one of the affected farms. Upon the visit, the clinical manifestations appeared as reported by the local practitioner. The followed materials were collected on the farm: 5 individual diarrheic feces samples, 5 moribund piglets, 6 blood samples with an anti-coagulant (3 of diseased and 3 of convalescent animals, respectively) and 10 blood samples without anti-coagulant (5 from diseased animals and 5 from convalescent ones, respectively). Four of the 5 moribund animals arrived alive and one died during transport. They were sacrificed immediately upon arrival and the feces and intestinal segments as well as biopsies of all the internal parenchyma and brain, were prepared for histopathological examination. An additional two sets of the same tissues were store at -20oC, for further analysis. One set of intestinal segments from the 5 piglets were shipped to the Istituto Zooprofilatico, (IZS) Brescia, Italy.
    One week later another batch of diarrheic feces arrived to KVI from newly infected herds. This batch comprised nine pooled feces; each sample represented one infected litter.
Antigenic identification
    Assuming that if porcine and bovine coronaviruses share common antigenic epitopes, we used the bovine assays for the diagnosis of rotavirus and coronavirus (Bio-X Combined Digestive ELISA Kit, for antigenic diagnosis in bovine faeces of rotavirus, coronavirus, E coli K99, B-6900 Marche-en-Famenne, Belgium) according to the manufacturer’s instructions.
Another set of antigen diagnosis was carried out at the IZS, using the immuno-fluorescence (IFA) on intestinal sections, electron-microscopy (EM) and immuno-EM (IEM) with specific anti-TGEV and polymerase chain reaction (PCR) (Kim et al., 12), and virus isolation.
    For the IFA and for the IEM assays performed on the intestinal sections, hyperimmune serum specific for porcine coronavirus was used.

Serology
This assay was performed at the IZS in Brescia, using a commercial kit ELISA (INGENASA) for the presence of anti-TGEV antibodies in infected and convalescent animals.

Necropsy
All the parenchyma samples were processed regularly and were prepared for staining with H&E on samples embedded in paraffin.

Hematology
Biochemical and hematological profile was done on all the blood samples.

Bacteriology
The routine laboratory diagnostic procedures were used as described elsewhere (10).

Introduction      Materials and methods     Discussion     back to top


Results

Antigenic discovery

    In total 63% of the fecal samples were positive for bovine corona virus antigen(s) (6/10 and 6/9 for the first and second sets of samples, respectively).

    All the assays combined together, namely, EM and IEM, PCR and IFA (Fig. 2) performed at the IZS in Brescia, showed that in all the 5 samples TGEV was present although none of the assays alone could identify the TGEV in all the samples (Table 1).   Virus isolation succeeded in two out of three diseased piglets. This isolation attempt was performed on piglets originating from a farm on day 45 of the ongoing TGE epidemic (Lavazza and Cordioli, personal communication).

Serology
    The sera derived from diseased animals had a very weak ELISA anti-TGEV reaction while the convalescent sera showed a very strong anti-TGEV reaction.

Necropsy
     Villous atrophy was noted, suggesting an acute enterovirus infection (Fig. 1). Massive infiltration of inflammatory cellular components, vacuolization of enterocytes and destructive process were all sequelae of the ongoing infection.

Figure 1. Villous atrophy and vacuolization of enterocytes with a massive infiltration of inflammatory cellular components.

   
Hematology

    The WBC, lymphocyte and neutrophil counts are presented in Table 1.

    As seen in Table 2, the hematological profile of the diseased animals shows a remarkable lymphopenia and a moderate neutrophilia. The L/N ratio range is a characteristic haematologic picture of acute viral attack.

Bacteriology
    All the bacteriological assays resulted negative for the presence of enteropathogenic bacteria including Clostridium perfringens type C, the causative agent of porcine enterotoxemia in piglets.


Figure 2. Immunofluorescence staining of the small intestine with monoclonal anti-porcine corona virus antibody.



 Table 1 - A Summary of the PCR, ME, IEM and IFA results from the IZS laboratories .

Animal
Number

TGEV-PCR

ME

IEM

IFA pools

1

+

-

-

 

2

-

+

+

 

3

-

+/-

+

+

4

-

+

+

 

5

+

+

+

+

 

Table 2. Range of White blood cells, lymphocyte and neutrophil counts and ratio N/L of diseased and convalescent animals
                                         

 

WBC

Lymphocytes

Neutrophiles

L/N* ratio range

Diseased         

9-14.2x103        

3.1-4.5x103

3.8-7.6x103

0.3-0.5/1          

Convalescent

11-17.8x103

9.7-11.5x103

0.8-4.6x103

3 to 10/1

 *lymphocyte/neutrophil ratio.

 Introduction      Materials and methods    Results       back to top


Discussion

    The Israeli intensive pig industry is isolated from other areas of farming. Moreover, it was maintained in quasi-closed premises, 13 pig herds in one region, with no other industrial pigsties within approximately 100 km. Due to this particular situation, Israeli Veterinary Services and KVI lacked species-specific diagnostic tools for the diagnosis of specific swine diseases. Nevertheless, we have diagnosed TGEV antigens in relatively short time by using non-species specific diagnostic kit. A specialized laboratory (IZS) that deals regularly with swine diseases has found the TGEV in the same samples, reconfirming our primary results.

    The differential diagnosis (11) of enteric neonatal diseases deals with many possible causative agents.

    The typical findings of villous atrophy (Figure 1) and lymphopenia (Table 2), pointed toward a probable viral (acute) attack. The clinical manifestations especially the age distribution of the diseased animals at risk, the rapid spread of the disease among the pigsties, its high mortality rate, the antigenic ELISA positive reaction in 63% of the fecal samples submitted to KVI and the confirmations tests from the IZS, lead us to the conclusion that TGEV is responsible for this episode.

    Whether the virus originated from bringing or smuggling of infectious material from abroad, or from the wild boar population is a matter of speculation.

     Introduction      Materials and methods    Results    Discussion     back to top  

 

LINKS TO OTHER ARTICLES IN THIS ISSUE

References

1. Pensaert, M.B. and DeBouck, P. and Reynolds, D. J. An immunoelectron microscopic and immunofluorescent study on the antigenic relationship between the coronavirus-like agent CV777 and several coronaviruses. Arch. Virol. 68: 45-52 1981.
2. Transmissible gastroenteritis. In: O. I. E. Manual of Diagnostic Tests and Vaccines for Terrestrial Animals Fifth Edition, 2004, pp 792-801.
3. Kemeny, L. J., Wiltsey, V. L. and Riley, J. L. Upper respiratory infection of lactating sows with transmissible gastroenteritis virus following contact exposure to infected piglets. Cornell Vet. 65: 352-362 1975.
4. Cooper V.L. Diagnosis of neonatal pig diarrhea. Vet. Clin. North Am. Food Anim. Prac 2000.
5. Prithchard, G.C. Transmissible gastroenteritis and porcine epidemic diarrhea in Britain. Vet. Rec. 144: 616-6181999.
6. Doyle, L. P. and Hutching, L. M. A transmissible gastroenteritis in pigs. J. Am. Vet. Med. Assoc. 108: 257-259 1946.
7. Wood, E. N. An apparently new syndrome of porcine epidemic diarrhea. Vet. Rec. 100: 243-244 1977.
8. Pensaert, M.B. and DeBouck, P. A new coronavirus-like particle associated with diarrhea in swine. Arch. Virol. 58: 243-247 1978..
9. Saif L. J. and Wesley, R.D. Transmissible gastroenteritis and porcine respiratory coronavirus. In: Diseases of Swine, 8th Edition, Iowa State University Press/ Ames, Iowa USA, pp. 295-325 (Eds: Straw, B. E, D’allairte, S., Mengeling. W. L., Taylor, D.J.) 1999.
10. Brenner, J., Elad, D., Van Hamm, M., Marcovic, A. and Perl, S. Microbiological and pathological findings in faeces and carcasses of young calves suffering from neonatal diseases. Isr. J. Vet. Med. 50: 21-24 1995.
11. Liebler-Tenorio, E. M. Pohlenz, J. F. and Whipp S. C. Diseases of the digestive system. In: Diseases of Swine, 8th Edition, Iowa State University Press/ Ames, Iowa USA, pp. 821-831 (Eds: Straw, B. E, D’allairte, S., Mengeling. W. L., Taylor, D.J.) 1999.
12. Kim, L., Chang, K-OK, Sestak, K., Parwani, A. and Saif, L.J. Development of a reverse transcription-nested polymerase chain reaction assay for differential diagnosis of transmissible gastroenteritis virus and porcine respiratory coronavirus from feces and nasal swabs of infected pigs. J. Vet. Diagn. Invest. 12: 385-388. 2000.

1.