Luxol Fast Blue & Cresyl Violet


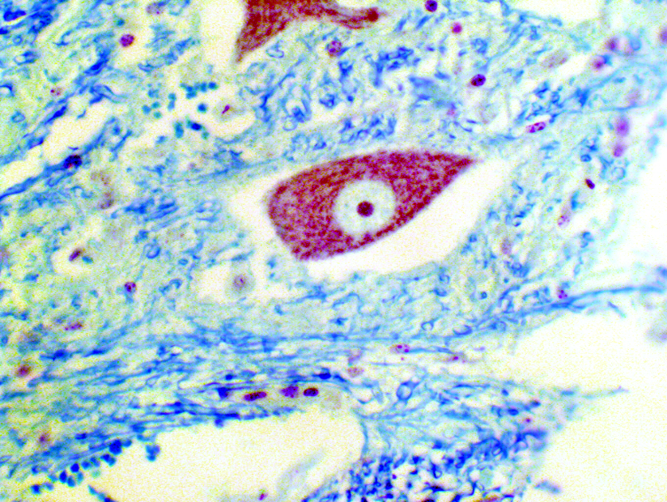
These two images illustrate another common stain used on nervous tissue: Luxol Fast Blue, which is often used with Cresyl Violet. The left image is a cross section of a nerve fiber tract: the LFB stain has highlighted the myelin sheaths of axons, and other nerve fibers. On the right, you can also see nerve fibers (this time in longitudinal section) and a large neuron as well, very nicely stained with the cresyl violet counterstain. Notice the large nucleolus and well-defined "Nissl bodies" in this neuron!Bovine Spinal Cord, 200x and 400x
| H&E | PAS | Masson's CT Stain | Verhoeff-van Gieson | Verhoeff-Masson | Mallory's CT Stain | Golgi Stain|
| Cresyl Violet | Cresyl Violet-Luxol Fast Blue | Kluver-Barrera | Fontana-Masson | Prussian Blue | Toluidine Blue|
|Osmium Tetroxide | Oil Red O | Sudan Black | Fluorescent & Enzymatic Tagging |

Close this Window